首頁>> 必威登录注册 >> 科學圖片

科學圖片

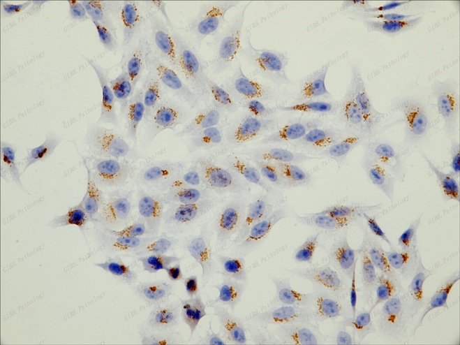
肝癌細胞爬片5B5染色,高爾基體著色-2

發表日期:2011-04-12 來源: 放大縮小

附件:
    Baidu
    map