首頁>> 必威登录注册 >> 科學圖片

科學圖片

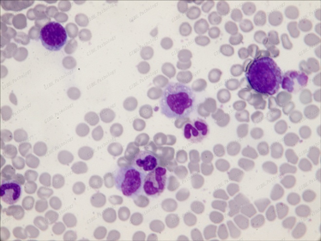
血塗片

發表日期:2011-08-15 來源: 放大縮小

附件:
    Baidu
    map