-
首頁>>
新聞動態>>
必威体育世界杯官网下载
必威体育世界杯官网下载
科學家發現全新的iPS細胞誘導因子
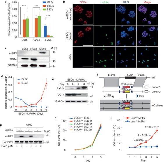
6月23日,國際著名學術期刊《自然·細胞生物學》(Nature Cell Biology)在線發表了中科院廣州生物醫藥與健康研究院裴端卿和陳捷凱實驗組的研究成果“The oncogene c-Jun inhibits reprogramming”。該研究從體細胞階段的因子出發,發現癌基因c-Jun與幹細胞多能性完全不相容,而c-Jun抑製因子不僅促進重編程,還可以替代Yamanaka因子中最為核心的Oct4;在這一發現基礎上結合研究組多年以來在重編程機理上的研究結果,組建了一套不包含Yamanaka因子的全新iPS細胞誘導因子。
曆時8年的係統研究
經過多年研究,科學家對體細胞重編程為幹細胞的過程有了一定的認識:通過強製表達多能性調控網絡的核心因子,可以逐步抑製體細胞原有的特性並慢慢建立起多能性,在此過程中細胞需要克服許多表觀遺傳方麵的障礙。然而在這些認識基礎上,重編程效率仍然較低,大多數細胞仍然不會執行多能性程序,因此裴端卿和陳捷凱研究組決定對一些之前沒有注意過的因子進行研究,其中就包括了可能能夠強烈維持體細胞命運的核心因子。
通過這個思路,實驗組發現一個非常著名的癌基因——c-Jun在表達上非常吻合:它僅在體細胞中表達,在胚胎幹細胞或iPS細胞中完全不表達,而在重編程過程中觀察不到明顯的下降。進一步的實驗發現,在胚胎幹細胞中敲除c-Jun對多能性毫無影響,但成纖維細胞中敲除c-Jun會造成細胞完全無法增殖,而在胚胎幹細胞強製表達c-Jun,胚胎幹細胞會迅速分化並失去多能性,這些結果都提示c-Jun與多能性是完全不相容的。在體細胞重編程中的結果也完全支持這一結論,強製表達c-Jun後,Yamanaka因子介導的體細胞重編程完全被抑製,而通過多種途徑抑製c-Jun,則能有效地提升iPS細胞獲得的效率。
這是實驗室近八年來一係列工作的結晶,單本研究中發現的c-Jun及其相關研究就做了近七年。
體細胞走向幹細胞的關口
科研人員對c-Jun抑製因子做了進一步的研究,驚喜地發現c-Jun抑製因子不僅可以提升重編程效率,更可以有效替代Yamanaka因子中最為核心的因子、同時也是幹細胞多能性調控網絡的核心因子Oct4。這提示抑製c-Jun這個體細胞的核心因子,也能起到加入類似Oct4這樣的幹細胞激活因子的作用,這對目前關於體細胞重編程的認識是一個衝擊。
裴端卿和陳捷凱實驗組結合過去的一些原創性發現,嚐試開發一套新的重編程因子。首先被選中的因子是Jhdm1b,作為維生素C提升體細胞重編程的重要下遊靶因子,Jhdm1b與Oct4共表達時即可以使體細胞重編程為幹細胞;其次被選中的因子是Id家族的Id1,Id家族作為BMP信號通路的下遊,在無Klf4的重編程體係中能夠有效地提升重編程效率。實驗人員在包括c-Jun抑製因子Jdp2在內的三因子基礎上進行了大量篩選和反複測試,又加入了Sall4、LRH-1和Glis1三個因子,最終確定了一套不包含Yamanaka因子的全新重編程因子組合,在這套因子組合中,Jdp2、Jhdm1b和Id1是不可或缺的,但六個因子都存在時,重編程效果比較穩定。實驗還顯示這套全新的重編程因子組合對一些藥物的反應和Yamanaka因子有所差別,證明這套係統可能代表了一條不同的重編程路徑,這對於研究重編程的機理提供了嶄新的思路和模型。
癌基因也能是幹細胞的“死對頭”
幹細胞作為一個熱點概念,當前麵臨大量質疑,比如因為幹細胞具有無限增殖的潛能,加上癌症幹細胞的發現,不僅使人聯想到幹細胞是否具有和癌細胞一樣的特征,這一問題眾說紛紜。而重編程iPS細胞的Yamanaka因子中有一個著名的癌基因c-Myc,在後來的研究中,科學家又發現著名的抑癌基因通路p53、p21會抑製體細胞轉化為幹細胞,這些事實都提示幹細胞可能和癌細胞共享一些通路,這在直覺上無疑加深了對幹細胞的懷疑。c-Jun作為第一個被定義為癌基因的轉錄因子,正常表達時對於體細胞增殖分裂是必須的,但如果異常高表達,就有癌變的風險。增加c-Jun表達時,用於“返老還童”的體細胞確實會增殖加快,在以往多數研究中,這會對iPS細胞的形成有好處,然而c-Jun的增加卻完全抑製了iPS細胞的產生,這說明癌基因並不是iPS形成的關鍵。
這項研究闡明了c-Jun與幹細胞多能性互不相容的機理,提出了全新的重編程因子組合,為體細胞重編程的機理提供了新的思路。該研究成果由裴端卿和陳捷凱實驗組合作完成,劉晶副研究員是本論文的第一作者,研究得到了來自中國科學院、國家科技部、國際自然科學基金委、廣東省及廣州市等多方麵的經費支持。

廣州生物院發現全新的iPS細胞誘導因子
